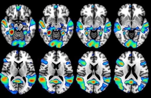
Selon une nouvelle étude publiée en ligne dans la revue "Radiology", une dose orale unique de bleu de méthylène augmenterait la mémoire à court terme, ainsi que l'attention. Les résultats ont été obtenus à partir d’une IRM fonctionnelle du cerveau.
Le bleu de méthylène est utilisé pour traiter la méthémoglobinémie, un trouble sanguin dans lequel l'oxygène est incapable de se libérer efficacement les tissus du corps, et comme un outil chirurgical. Une étude parue dans la revue Radiology tente d'en expliquer le mécanisme.
Des études animales menées au préalable
Les études animales ont montré qu’une faible dose unique de bleu de méthylène améliore sur le long terme la mémoire et les circonstances d'une mémoire spécifique basée sur le contexte, un processus dans lequel une réponse organisée par des stimulis diminue graduellement au fil du temps. "Bien que les effets qui améliorent la mémoire grâce au bleu de méthylène ont été montrés chez les rongeurs dans les années 1970, les changements neuronaux sous-jacents dans le cerveau responsables de l'amélioration de la mémoire et les effets du bleu de méthylène l’attention à court terme n'ont pas été étudié, précise l’auteur de l'étude le Dr Timothy Duong, de l'Université du Texas Health science Center à San Antonio. Notre équipe a décidé de mener la première étude multi-modale d’IRM sur les effets du bleu de méthylène chez les humains".
Le déroulement de l’étude
Vingt-six participants en bonne santé, entre 22 et 62 ans, ont été intégrés à un essai clinique randomisé, en double-aveugle, pour mesurer les effets du bleu de méthylène sur le cerveau humain lors de tâches nécessitant un travail de mémoire soutenu, ainsi que sur l’attention. Cette étude a été approuvée par le comité d'éthique local. Les participants ont subi une IRM fonctionnelle (IRMf) avant et une heure après l’administration du bleu de méthylène à faible dose pour évaluer les effets potentiels du bleu de méthylène sur la réactivité cérébrovasculaire au cours de tâches de ce type. La moyenne du débit sanguin cérébral a été mesurée avant et après l'intervention.
Des résultats prometteurs
Les résultats ont montré une réponse accrue au bleu de méthylène dans le cortex insulaire bilatéral, une zone profonde du cerveau associée à des réponses émotionnelles, pendant un test qui mesurait le temps de réaction à un stimulus visuel. Les résultats de l’IRMf ont également montré une réponse accrue au cours des tâches de mémoire à court terme impliquant le cortex préfrontal du cerveau, qui contrôle le traitement des souvenirs, le lobe pariétal, principalement associé au traitement de l'information sensorielle, et le cortex occipital, le centre de traitement visuel du cerveau. En outre, le bleu de méthylène a été associé à une augmentation de 7% dans les réponses correctes lors d’un test sur la mémoire.
Les résultats suggèrent qu’une faible dose orale unique de bleu de méthylène peut réguler certains réseaux cérébraux liés à une attention soutenue et à la mémoire à court terme. "Ce travail fournit certainement une base pour les essais futurs à base de bleu de méthylène sur le vieillissement en santé, les troubles cognitifs, la démence et d'autres facteurs qui pourraient bénéficier de l'amélioration de la mémoire induite par les médicaments", conclut le Dr Duong.


Le Syndrome radiologiquement isolé est le premier signe avant-coureur de la SEP en IRM. Ce syndrome est synthétisé dans les Critères de McDonald, qui a fait l’objet d’une mise à jour en 2004 avec de nouvelles implications cliniques et radiologiques. Un article publié dans l’American Journal of Roent...
26/12/2025 -

La Radiological Society of North America (RSNA) a annoncé, en amont de son congrès annuel, les résultats du Challenge AI 2025 de la RSNA sur la détection des anévrismes intracrâniens.
15/12/2025 -


Des chercheurs ont présenté, à l’occasion du congrès de la RSNA 2025, la première étude évaluant l'impact de l'obésité sur les biomarqueurs sanguins de la maladie d'Alzheimer. En utilisant la TEP amyloïde, ils ont confirmé l’augmentation de ces biomarqueurs jusqu'à 95 % plus rapide chez les personne...
11/12/2025 -


En étudiant l'activité cérébrale des supporters de football par IRM fonctionnelle, des chercheurs ont découvert que certaines régions du cerveau s'activaient lors du visionnage de matchs de leur équipe favorite, déclenchant des émotions et des comportements positifs et négatifs. Dans un article publ...
18/11/2025 -


La tractographie par IRM devient un outil pertinent pour évaluer les flux dans les faisceaux de fibres cérébrales. Une étude italienne publiée dans la Revue European Radiology explore la complexité du faisceau cingulaire par tractographie probabiliste et expérimente plusieurs protocoles d’acquisitio...
04/11/2025 -


Les QReports, outils essentiels pour le diagnostic et le suivi de la SEP par IRM, ont besoin d’un consensus scientifique pour être utilisés en pratique clinique. Des experts européens de cette pathologie ont été appelés à se prononcer sur les critères d’élaboration de cet outil et des recommandation...
13/10/2025 -


GE HealthCare a récemment conclu un accord pour acquérir icometrix, une entreprise spécialisée dans l’analyse d’imagerie cérébrale assistée par IA pour les troubles neurologiques.
23/09/2025 -
Ne manquez aucune actualité en imagerie médicale et radiologie !
Inscrivez-vous à notre lettre d’information hebdomadaire pour recevoir les dernières actualités, agendas de congrès, et restez informé des avancées et innovations dans le domaine.