La Décision du 14 octobre 2025 relative à la liste des actes d'imagerie fait craindre des fermetures de cabinets radiologie libérale, selon la FNMR. Ce texte comprend des réductions de valorisation d’actes de radiologie diagnostique et interventionnelle mais c'est l’imagerie en coupe qui subit les p...



La tractographie par IRM devient un outil pertinent pour évaluer les flux dans les faisceaux de fibres cérébrales. Une étude italienne publiée dans la Revue European Radiology explore la complexité du faisceau cingulaire par tractographie probabiliste et expérimente plusieurs protocoles d’acquisitio...

Le CHU Dijon Bourgogne vient se doter d’un scanner à comptage photonique Siemens Healthineers dont la technologie de pointe assure une qualité d’image sans précédent, garantit une meilleure prise en charge des patients et renforce l’attractivité de l’hôpital auprès des professionnels de santé.


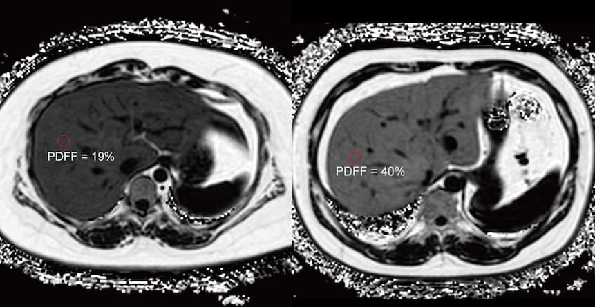
La fraction de densité de proton par IRM est reconnue comme un outil d’évaluation de référence pour quantifier la graisse hépatique. Un travail de recherche publié dans la Revue Radiology évalue la gravité de la stéatose aux moyens de cette pratique. Cet outil IRM est validé par les chercheurs pour...



Ajuster la fréquence du dépistage du cancer du sein pour en optimiser les résultats est au cœur des préoccupations des experts scientifiques du domaine. Une étude publiée dans la Revue Radiology introduit une solution d’IA dans l’analyse de la campagne triennale britannique de dépistage pour générer...
29/10/2025 - Bruno Benque

Après la Fédération Nationale des Médecins Radiologues, c’est au tour du Conseil National Professionnel (CNP) de la radiologie française, le G4, de commenter la décision unilatérale du Directeur Général de l’UNCAM de mettre en place de façon unilatérale d’importantes baisses tarifaires dans le champ...
28/10/2025 - Rédaction


La problématique de la manipulation des images par le radiologue interventionnel en cours de procédure pourrait trouver une solution s’inspirant des technologies de détection de mouvement utilisées dans le jeu vidéo. Des chercheurs ont présenté, dans un article publié dans le Journal de radiologie d...
24/10/2025 - Bruno Benque

Le projet RHYTHM a été officiellement les 21 et 22 octobre 2025 à Vienne. Cofinancé par le programme EU4Health de la Commission européenne et coordonné par l’EIBIR, il rassemble des experts de premier plan en radiologie, médecine nucléaire, physique médicale, gestion des soins et défense des droits...
22/10/2025 - Bruno Benque


La dénervation rénale est désormais recommandée par les experts scientifiques américains pour traiter l’hypertension artérielle. Ils y voient une option thérapeutique pour des pressions artérielles systoliques résistantes à plusieurs antihypertenseurs, mais pas un traitement curatif ni un remplaceme...
22/10/2025 - Bruno Benque

La Société d’Imagerie Thoracique annonce la tenue, en juin 2026, de ses 37èmes Journées de printemps. Les leaders d’opinion de la surspécialité assureront la qualité scientifique de cet événement.
21/10/2025 - Rédaction


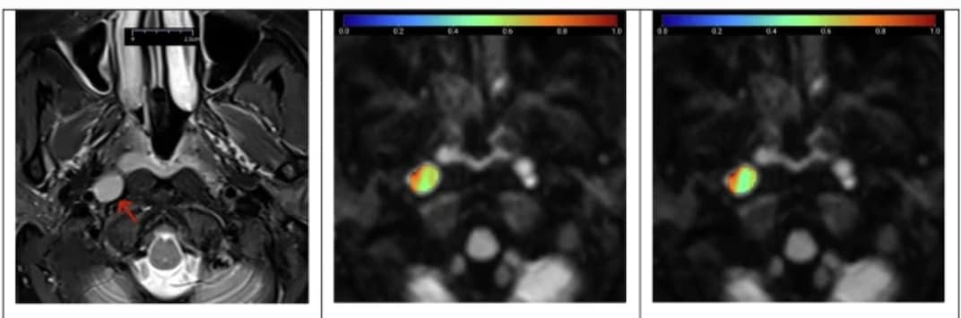
Distinguer les ganglions lymphatiques cervicaux bénins et métastatiques par IRM conventionnelle n’est pas facile. Une étude publiée dans la Revue European Radiology tente de différentier les ganglions lymphatiques bénins et métastatiques en combinant de nouveaux modèles d’IRM de diffusion et leurs c...
20/10/2025 - Bruno Benque
Ne manquez aucune actualité en imagerie médicale et radiologie !
Inscrivez-vous à notre lettre d’information hebdomadaire pour recevoir les dernières actualités, agendas de congrès, et restez informé des avancées et innovations dans le domaine.