Une série d'études récentes montre que le Gadolinium s'accumule de façon résiduelle dans le cerveau. Les dangers de ces résidus sont sans doute liées à la structure moléculaire de l'agent chimique qui accompagne le Gadolinium dans le corps des patients. Et les habitudes des radiologues sont appelées à changer, selon le Pr Emmanuel Kanal.
Une étude publiée dans la revue Radiology, suggère que certains produits de contraste utilisés en IRM peuvent rester dans le cerveau pendant des années, mais que les effets à long terme sont inconnus.
Le Gadolinium est-il dangereux à long terme ?
«Nous avons maintenant des preuves claires que l'administration de différents agents de contraste à base de gadolinium entrainent une accumilation résiduelle de cette substance dans le cerveau», déclare le Pr Emanuel Kanal, Directeur des services de radiologie et de neuroradiologie du Pittsburgh University Medical Center. «Ce que nous ne savons toujours pas est la signification clinique, le cas échéant, de cette observation." La molécule de gadolinium seule peut être toxique. Présent dans les agents de contraste, il est lié à une molécule appelée agent de chélation, qui commande la distribution du gadolinium dans le corps. La sécurité d'un produit de contraste en IRM est donc soumise à la persistance de cette liaison dans les résidus. Trois études publiées dans Radiology soulèvent de nouvelles questions sur les concentrations résiduelles de gadolinium dans le cerveau des patients sans antécédents de néphropatie.
Des résidus de produit de contraste dans le cerveau
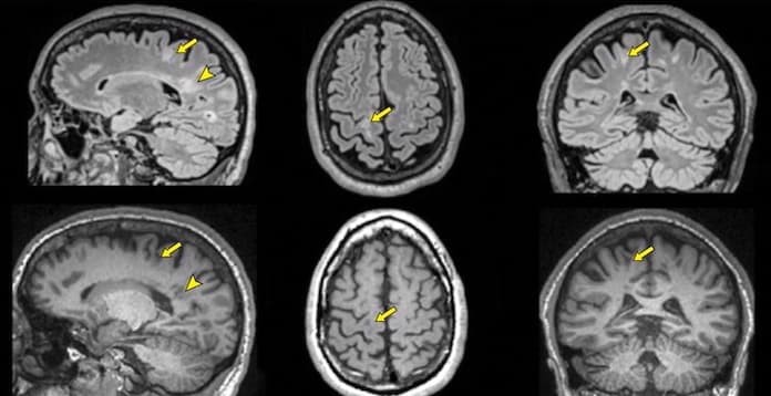
Les chercheurs de l'école de médecine de l'Université Teikyo à Tokyo, au Japon, ont constaté que même chez les patients sans insuffisance rénale sévère, l'administration de l'agent de contraste à base de gadolinium provoque l'accumulation de gadolinium dans le cerveau. Des tissus cérébraux de cinq patients autopsiés qui avaient subi plusieurs examens par IRM de contraste à base de gadolinium et cinq patients sans antécédents de gadolinium ont été comparés. Du Gadolinium dans des quantités significatives a été détecté dans tous les échantillons du groupe de contraste. Ces résultats corroborent les résultats d'une étude de la Mayo Clinic publiée en Mars 2015, qui a montré des dépôts résiduels de gadolinium dans le cerveau post-mortem de 13 patients qui avaient subi au moins quatre examens IRM de contraste à base de gadolinium. Aucune de ces études n'a été en mesure de déterminer si le gadolinium résiduel était sous forme libre ou chélaté.
Le Gadolinium macrocyclique, mieux que le linéaire
Il existe deux catégories structurellement distinctes d'agents de contraste à base de gadolinium: linéaire et macrocyclique. Dans la structure macrocyclique, le gadolinium est lié plus étroitement à l'agent chélatant et, par conséquent, moins susceptibles de libérer du gadolinium libre dans le corps. Les études précédentes étaient axée uniquement sur des agents de contraste à gadolinium linéaire. Une troisième étude, du Heidelberg University Medical Center, en Allemagne, suggère que la structure moléculaire de l'agent de contraste peut jouer un rôle dans le résidu de gadolinium. Les chercheurs allemands ont examiné rétrospectivement deux groupes de 50 patients qui avaient subi au moins six examens par IRM avec l'utilisation exclusive d'un agent de contraste à base de gadolinium linéaire ou macrocyclique. Ils ont constaté une augmentation de l'intensité du signal IRM dans des régions spécifiques du cerveau dans le groupe linéaire, mais pas dans le groupe macrocyclique.
Sur la base de ces résultats, le Dr Kanal souligne que les médecins devraient prendre en considération les risques inconnus des résidus de gadolinium au moment de déterminer le type et la quantité d'agent de contraste à administrer. "Les agents de contraste à base de gadolinium sont extrêmement utiles pour les patients à travers le monde et ce depuis des décennies", conclut-il. "Nous ne pouvons pas priver inutilement nos patients des informations crucialesfournies par le contraste au gadolinium en IRM. Mais nous ne pouvons pas ignorer ces nouvelles découvertes et continuer à les prescrire comme nous l'avons fait jusqu'à présent, sans changement ".


Les QReports, outils essentiels pour le diagnostic et le suivi de la SEP par IRM, ont besoin d’un consensus scientifique pour être utilisés en pratique clinique. Des experts européens de cette pathologie ont été appelés à se prononcer sur les critères d’élaboration de cet outil et des recommandation...
13/10/2025 -


GE HealthCare a récemment conclu un accord pour acquérir icometrix, une entreprise spécialisée dans l’analyse d’imagerie cérébrale assistée par IA pour les troubles neurologiques.
23/09/2025 -

La Société Française de Neuroradiologie (SFNR) sera très présente aux Journées Francophones de Radiologie (JFR) 2025, avec un programme d’une grande diversité, alliant avancées techniques, enjeux cliniques et perspectives d’avenir.
22/09/2025 -

La détection précoce de la maladie d’Alzheimer est l’un des sujets les plus traités par la communauté scientifique médicale. Le programme PREDICTOM, financé principalement par l’Union Européenne et qui vient d'être lancé, fait partie des travaux de recherche qu’il faudra suivre dans un futur proche.
16/09/2025 -


L’acupuncture représente une alternative non médicamenteuse pour traiter le syndrome post-commotionnel chronique. Une étude publiée dans la Revue Radiology prouve son efficacité en utilisant l’IRM par tenseur de diffusion pour évaluer les évolutions des lésions axonales notamment dans ce contexte.
20/08/2025 -

Comme elle le fait depuis quelques années à l’approche de son congrès annuel, la Radiological Society of North America (RSNA) lance un nouveau challenge faisant intervenir l’IA. Il s’agit du RSNA Intracranial Aneurysm Detection AI Challenge 2025.
13/08/2025 -


L’identification des pathologies cérébrales nécessite désormais une approche biologique en plus de la clinique. Dans ce cadre, des marqueurs spécifiques au TEP permettent la découverte de certaines maladies neurologiques avant toute apparition clinique. Une revue de la littérature publiée dans le Jo...
15/07/2025 -
Ne manquez aucune actualité en imagerie médicale et radiologie !
Inscrivez-vous à notre lettre d’information hebdomadaire pour recevoir les dernières actualités, agendas de congrès, et restez informé des avancées et innovations dans le domaine.